Guarda la diretta Facebook lanciata in collaborazione con Donna Moderna, insieme alle ambassador LILT, la dottoressa Monica Calcagni e la speaker radiofonica Petra Loreggian.

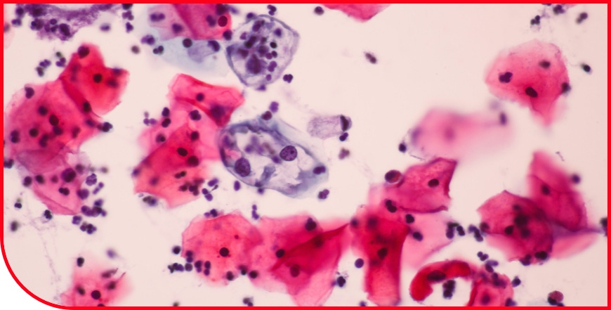
Il Papilloma virus, noto come HPV (Human papilloma virus) è la più comune infezione trasmessa sessualmente nei Paesi sviluppati ed è riconosciuta come causa principale del tumore della cervice uterina, oltre ad altri tumori genitali e del distretto testa-collo.
La trasmissione avviene per contatto diretto e indiretto con liquidi corporei o attraverso lacerazioni cutanee. Il periodo che intercorre tra la persistenza dell’infezione virale e l’eventuale comparsa di lesioni precancerose è variabile, può essere di circa di 5 anni, mentre per la trasformazione in carcinoma invasivo possono trascorrere anche decenni.
Tra i tipi di virus, quasi 200, ce ne sono circa una ventina pericolosi perché tendono a penetrare nelle cellule. La loro persistenza nei tessuti del corpo nell’arco di 7-15 anni può causare un tumore a livello della cervice uterina, della vulva e della vagina nella donna, del pene nell’uomo, dell’ano e del cavo orale in entrambi i sessi.
L’infezione da HPV spesso è asintomatica, ma può manifestarsi con verruche e papillomi.


L’infezione da HPV ha di solito un decorso benigno. In alcuni casi, però, l’infezione porta a modifiche cellulari che lentamente possono progredire verso forme tumorali.
In Italia si stimano oltre 6.000 nuove diagnosi l’anno di tumori causati dal Papillomavirus umano (Hpv), responsabile di circa il 97% dei tumori della cervice uterina, dell’88% dei tumori anali, del 70% dei tumori vaginali, del 50% dei tumori del pene, del 43% dei tumori vulvari e di circa il 26-30% dei tumori del distretto testa-collo.
È importante quindi fare prevenzione per proteggersi dall’HPV.
Le comuni pratiche di igiene e l’uso del preservativo sono validi strumenti a nostra disposizione, perché ci proteggono anche da altre malattie sessualmente trasmissibili, ma non sono efficaci al 100%. Da sole quindi non bastano.
Per proteggersi dall’HPV è importante:

Il 17 novembre 2020 l’Organizzazione Mondiale della Sanità ha lanciato una strategia per eliminare il cancro cervicale causato dal Papillomavirus attraverso il raggiungimento entro il 2030 del 90% di copertura della vaccinazione da HPV negli adolescenti maschi e femmine.
I vaccini anti-HPV oggi utilizzati proteggono contro i 9 sierotipi di HPV (2 virus a basso rischio, frequenti cause di verruche genitali, e 7 virus ad alto rischio). Come dichiarato dal Ministero della Salute sono estremamente sicuri ed efficaci: possono prevenire oltre il 90% delle forme tumorali associate all’HPV e sono stati somministrati in sicurezza a milioni di ragazze e ragazzi in tutto il mondo.
In Italia la vaccinazione anti HPV è raccomandata a partire dal compimento degli 11 anni a maschi e femmine, o comunque prima dell’inizio dei rapporti sessuali, preliminari compresi per garantire la massima copertura. In questa fase, infatti, la risposta con anticorpi è maggiore e si riduce il rischio di persistenza nell’organismo del virus, soprattutto di HPV a rischio oncologico.
La vaccinazione prevede due dosi fino ai 15 anni di età a distanza di 6 mesi l’una dall’altra, mentre tre dosi dopo i 15 anni: una subito, l’altra dopo 2 mesi e l’ultima dopo 6 mesi dalla prima, per iniezione intramuscolo.
Gli studi garantiscono un’ottima copertura oltre i 15 anni e sono in corso ulteriori ricerche per capire per quanto tempo rimane l’immunità. Attualmente il vaccino contro l’HPV è gratuito per gli adolescenti e le persone a rischio ed è su chiamata attiva tramite l’invio di una lettera dal centro vaccinale della tua ASL. Informati sulle modalità di adesione e prenotazione presso il centro vaccinale più vicino.
Per saperne di più consulta le pagine informative della tua Regione.
Vaccinarsi contro il Papilloma virus umano vuol dire sconfiggere i tumori correlati all’HPV. Un traguardo che LILT Milano Monza Brianza promuove da molti anni con il progetto “50 Sfumature di Prevenzione” di cui è capofila, per sensibilizzare i ragazzi, genitori ed insegnanti sul Papilloma Virus Umano (HPV) e sulle Malattie Sessualmente Trasmissibili (MST).
Il progetto è portato avanti insieme ad una rete di 12 LILT operanti sul territorio italiano ed è reso possibile grazie al Programma 5 per mille finanziato da LILT Nazionale. “Riteniamo la scuola un contesto strategico e prezioso per parlare di salute – spiega Francesco Schittulli, presidente di LILT Nazionale -, tanto più se il tema è complesso e delicato come quello della sessualità in età giovanile e delle eventuali patologie connesse. L’educazione a una sessualità responsabile ha un grande valore per la salute ed è nostro dovere trasmetterla senza tabù”.
La nuova sfida di LILT è di sensibilizzare anche quei genitori che sono ancora scettici sul vaccino. La nuova edizione del progetto mira a superare la loro resistenza attraverso informazione corretta e consapevolezza sui rischi del virus, non solo per le donne, sconfiggendo fake news e stereotipi.
Per informazioni è possibile rivolgersi alle associazioni LILT del territorio aderenti all’iniziativa: Ascoli Piceno, Bergamo, Brescia, Catanzaro, Firenze, Genova, Lecco, Milano, Monza e Brianza, Napoli, Oristano, Palermo, Sassari.
Puoi rivolgerti agli Spazi LILT per i tuoi controlli di prevenzione! 7 ambulatori attrezzatissimi sul territorio di Milano, Monza e della Brianza, con medici esperti, apparecchiature all’avanguardia e tutta la competenza di LILT nelle visite di diagnosi precoce oncologica.
Perché diagnosticare un tumore ginecologico in uno stadio iniziale salva la vita!